병원소개
인사말
의료진소개
오시는길
병원둘러보기
진료정보
성형수술
보톡스
필러
진료시간및예약
진료시간
상담예약
수술전후
눈수술전후
기타수술전후
공지사항
공지사항
수술전후
눈수술전후
기타수술전후
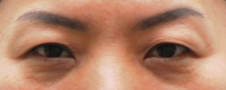
HOME > 수술전후 > 눈수술전후
눈수술전후
제목
-
등록일
2021.11.04 15:30
글쓴이
눈썹 밑 절제 후
조회
419
수술 전
수술 후
목록
다음글 |
-
이전글 |
-